Tüm Hizmetler
Markalar
Oto / Vasıta
Airbag Tamircileri Araç Beyin ve Elektronik Tamiri Araç Kaplama Merkezleri Araç Kiralama Araç Motor Yenileme Rektifiye Araç Yedek Parça Satışı Benzinlik / Akaryakıt İstasyonları Bisiklet Tamiri / Bisikletçi Çekici / Oto Kurtarma / Oto Çekici Deniz Araçları Tamiri Lastik Yol Yardım LPG Otogaz Satış ve Tamircileri Motor Galerileri Motor Tamiri Motorsiklet Tamiri Oto Akü Satışı ve Değişimi Oto Camcı Oto Döşemeciler Oto Egzoz / Egzozcu Oto Ekspertizler Oto Elektrikçiler Oto Fren-Balata Oto Galeriler Oto Kaportacılar ve Oto Boyacılar Oto Kilitçiler - Oto Anahtarcılar Oto Klima Tamiri ve Gaz Dolumu Oto Lastik / Lastikçi Oto Radyatör Tamircileri Oto Radyo/Teyp ve Ses Sistemleri Oto Tamir ve Bakım Oto Tunning ve Oto Aksesuarcıları Oto Yıkamacılar ve Oto Kuaförleri Otoparklar Rotbalans Şanzıman Tamiri Scooter Tamircileri Yat / Tekne Kiralama Yat Bakım Onarım
Sağlık
112 Acil Hizmetleri Acil Tıp Uzmanı Ağız ve Diş Sağlığı Klinikleri Aile Danışmanları Aile Hekimleri Akupunktur Androloglar Astım ve Solunum Yolu Hastalıkları Uzmanları Cinsel Sağlık Danışmanları Çocuk Diş Hekimleri (Pedodonti) Çocuk Doktorları Çocuk Kardiyologları Çocuk Nörologları Çocuk Psikiyatristleri Dahiliye (İç Hastalıkları) Dermatologlar Dermatopatologlar Diş Hekimleri Diş Hekimleri Diyaliz Uzmanları Diyetisyenler ve Beslenme Uzmanları Doğal ve Bitkisel Tedavi Uzmanları Doğum Klinikleri Ecza Depoları Eczaneler Endokrinologlar Enfeksiyon Hastalıkları Uzmanları Estetik Cerrahlar Evde Sağlık Hizmetleri Fizyoterapi Merkezleri Gastroenterologlar Genel Cerrahlar Geriatri Uzmanları Göğüs Cerrahları Göz Doktorları Göz Hastaneleri Hacamat ve Sülük Tedavisi İlk Yardım Merkezleri İş Sağlığı ve Güvenliği Uzmanları İşitme Cihazı Satış Merkezleri İşitme ve Konuşma Terapistleri İşyeri Hekimleri Kadın Hastalıkları ve Doğum Uzmanları (Jinekoloji) Kalp Damar Cerrahları Kan Bağışı Merkezleri Kardiyologlar Kemoterapi Merkezleri KOAH Uzmanları Kök Hücre Tedavi Merkezleri Kulak Burun Boğaz Hekimleri (KBB) Mamografi ve Meme Kanseri Taraması Merkezleri Medikal Cihaz Satış ve Servis Metabolik Hastalıklar Uzmanları Mohs Cerrahları MR, Röntgen ve Tomografi Merkezleri Neonatologlar Nörologlar Odyologlar Onkoloji Hastaneleri Optikçiler Ortodonti Uzmanları (Diş Teli) Ortopedistler Özel Ambulans Firmaları Özel Hastaneler Paramedik Parkinson Uzmanları Perinatologlar Plastik Cerrahi Merkezleri Prostat Cerrahları Protezciler Psikiyatristler Psikologlar Pulmonologlar Rehabilitasyon Merkezleri Rinologlar Sağlık Eğitim ve Araştırma Merkezleri Sağlık Eğitmenleri Sağlık Kabinleri Sağlık Ocakları Sağlık Sigorta Danışmanları Sağlık Turizmi Danışmanları Tıp Merkezleri Tüp Bebek Uzmanları Ürologlar Yaşlı Bakım Hizmetleri Yaşlı Bakım Merkezleri
Tamirat-Tadilat
Alarm Güvenlik Sistemi Alçı / Asma Tavan / Kartonpiyer Alüminyum Doğrama Anahtarcı Asansör Tamir ve Bakımı Baca Hizmetleri Bahçıvanlar Barkod Sistemleri Beyaz Eşya Servisi Bilgisayar Tamiri / Bilgisayarcı Bobinaj Boya Badana / Boyacı Bungalov İmalatı Camcı Çatı Tamir ve İmalatı Çilingir Demir Doğramacı Dikiş Makinesi Servis ve Satış Noktaları Doğalgaz Projelendirme Dökümhaneler Duşakabin Elektrikçi Elektronik Kart Tamiri Enerji Sistemleri ve Teknolojileri Fayans Ustası (Fayansçı) Geçiş Kontrol Sistemleri Güneş Enerji Sistemleri Güvenlik Kamera Sistemleri Güvenlik Sistemleri Havalandırma Sistemleri Havuz Sistemleri İş ve Üretim Ekipmanları İzolasyon/Yalıtım Jeneratör Tamir ve Bakımı Kanalizasyon Temizleme Karavan Üretim ve Tasarımı Kaynakçı Klima Servisi / Klimacı Kombi Servisi / Kombici Küçük Ev Aletleri Tamiri Laminat Parkeci Mermer / Granit / Çimstone Mezar Yapımı / Mezarcı Mimarlık / Teknik Çizim Otomasyon Sistemleri Panjur / Kepenk Peyzaj Hizmeti Polisaj Prefabrik Ev Yapımı PVC Doğrama İşleri Robot Süpürge Servisi Saat Tamiri / Saatçi Sıhhi Tesisat Sıvacılar Soba ve Kuzine Soğutma Sistemleri Su Arıtma Servisi Su Kaçağı Tespiti Su Tesisatçısı Teknik Servisler Telefon Tamiri / Telefoncu Televizyon Tamircisi Tente / Branda Tiny House Yapımı Uydu Servisi / Uyducu Vidanjör Hizmetleri Yangın Alarm Sistemi Yazıcı / Fotokopi Tamiri
Kaydır
  • Dent 01 Çene Cerrahisi
  • Dent 01 Çene Cerrahisi

Firma Bilgileri

Whatsapp
Şehir / İlçe
Adana / Çukurova
E-posta
info@tavsiyemiz.com
Kategori
Diş Hekimleri
Yorumlar
0.0
Posta Kodu
01360
Adres
TURAN ÇEKİÇ APARTMANI, Beyazevler, Beyazevler Cd. No :1, 01110 Çukurova/Adana

Dent 01 Çene Cerrahisi

Adana’da Güvenilir ve Uzman Dent 01 Çene Cerrahisi Hizmetleri

Adana bölgesinde yer alan Dent 01 Çene Cerrahisi, diş sağlığı ve çene cerrahisi alanında uzmanlaşmış, yüksek kaliteli hizmetler sunan önde gelen kliniklerden biridir. Çene cerrahisi, diş kaybı, çene kemiği sorunları ve çeşitli ortognatik rahatsızlıkların tedavisinde önemli bir rol oynar. Bu alanda uzman ve deneyimli diş hekimlerimiz, hastalarımıza modern teknolojiler ve kişiye özel tedavi planlarıyla hizmet vermektedir. Dent 01 Çene Cerrahisi, Adana bölgesinde güvenilirlik ve uzmanlık arayan hastalar için en doğru adres olmaya devam etmektedir.

Dent 01 Çene Cerrahisi’nin Hizmet Alanları

Dent 01 Çene Cerrahisi, geniş kapsamlı çene ve diş cerrahisi hizmetleriyle hastalarının ihtiyaçlarını karşılamaktadır. Başlıca hizmetlerimiz arasında şunlar bulunmaktadır:

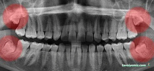
  • Diş Çekimi ve Diş Kökü Cerrahisi: Diş çekimi, özellikle gömük ve gömülü dişlerin tedavisinde ileri teknikler ve anestezi yöntemleri ile konforlu hizmet sunulmaktadır.
  • İmplant Uygulamaları: Eksik dişlerin yerine kalıcı ve fonksiyonel çözümler olan diş implantları, uzman gözetiminde uygulanmaktadır. İmplant diş tedavilerimiz, yüksek başarı oranları ile bilinmektedir.
  • Çene Kemiği Greftleri ve Sinüs Yükseltme: Çene kemiği yapısındaki eksikliklere yönelik kemik greftleri ve sinüs yükseltme işlemleri, implant başarısını artırmak ve hastaların konforunu sağlamak amacıyla yapılmaktadır.
  • Ortognatik Cerrahi (Çene Düzeltme Operasyonları): Çene yapısında yapısal bozukluklar, düztabanlık veya uyumsuzluk gibi problemlerin tedavisinde uzman kadromuzla çeşitli ortognatik operasyonlar gerçekleştirilmektedir.
  • Gelişmiş Radyolojik ve Dijital Tanı Hizmetleri: Panoramik röntgen, 3D tomografi ve dijital analitik cihazlar ile doğru ve detaylı tanı koyarak en etkili tedavi planını hazırlıyoruz.

Uzman Diş Hekimleri ve Modern Teknolojiler

Dent 01 Çene Cerrahisi, alanında uzman diş hekimleri ve cerrahlar tarafından yönetilmektedir. Ekibimiz, sürekli eğitim ve gelişim ile en yeni tedavi tekniklerini yakından takip etmektedir. Modern teknolojik altyapımız sayesinde hastalarımıza minimal invaziv tedavi seçenekleri sunuyor, iyileşme sürelerini kısaltıyoruz. Bu sayede, hastalarımız hem güvenli hem de konforlu bir tedavi deneyimi yaşamaktadır.

Adana’da Çene Cerrahisi Hizmetlerinde Neden Dent 01’i Tercih Etmelisiniz?

Adana’da çene cerrahisi konusunda üstün hizmet kalitesi ve uzman kadrosu ile öne çıkan Dent 01 Çene Cerrahisi, birçok avantaj sunmaktadır:

  • Gelişmiş Teknoloji ve Tanı Ekipmanları: En yeni dijital ve radyolojik cihazlar ile doğru tanı ve tedavi.
  • Uzman ve Deneyimli Kadro: Yüksek eğitimli ve uzman diş hekimleri ile güvenilir hizmet.
  • Her hastanın durumu dikkate alınarak kişiye özel tedavi seçenekleri.
  • Konfor ve Güvenlik: Ağrısız ve minimal invaziv teknikler ile konforlu süreçler.
  • Uygun Fiyat ve Kalite Dengei: Çözüm odaklı fiyatlandırma ve yüksek tedavi başarısı.

Adana’da Dent 01 Çene Cerrahisi ile Sağlıklı Bir Gülüşe Kavuşun

Diş ve çene sağlığı, genel yaşam kalitenizi doğrudan etkileyen önemli bir konudur. Dent 01 Çene Cerrahisi olarak, uzman ekibimiz ve gelişmiş teknolojik altyapımız ile Adana bölgesinde yaşayan hastalarımıza güvenilir ve etkili çözümler sunuyoruz. Eğer diş kaybı, çene kemiği sorunları veya ortognatik problemlere sahipseniz, alanında uzman ekibimizle iletişime geçerek detaylı bilgi ve randevu alabilirsiniz. Sağlıklı bir gülüş ve özgüven için bizimle iletişim kurmayı unutmayın.

Konumu

0.0
Yorumlar
0 Değerlendirme
0%
Çok İyi
0%
İyi
0%
Orta
0%
Kötü
0%
Çok Kötü

Yorum Ekle

Çalışma Saatleri

  • Pazartesi 09:00 - 18:00
  • Salı 09:00 - 18:00
  • Çarşamba 09:00 - 18:00
  • Perşembe 09:00 - 18:00
  • Cuma 09:00 - 18:00
  • Cumartesi 09:00 - 18:00
  • Pazar Kapalı
Arayan Bilgileri
‘Sevgili Kullanıcımız İlgili Alana İsim Soyisim ve Telefon Numaranızı Girmelisiniz Sonrasında Tarafınıza 0850 242 83 43 Numarasından Arama Gelecek ve Aradığınız Firma İle Görüşme Sağlayabileceksiniz Görüşmenizin İyi Geçmesi Dileğiyle. tavsiyemiz.com Ekibi’
+90